Where Precision Meets Natural Beauty

Tailored Treatments

Tailored Treatments for Every Need

The eyes and face play a powerful role in how we express emotion and confidence. Our services address both aesthetic enhancement and functional correction, using advanced techniques and personalized treatment plans.

 

Functional Procedures

Functional Oculofacial Care

Droopy Eyelid (Ptosis) Repair 

Ptosis is a droopy upper eyelid that can affect vision, appearance and confidence. Ptosis surgery is precise – designed to restore the right eyelid height, contour, and blink while keeping the result natural.

Share your photos and symptoms in a virtual or physical consult so we can understand your concerns and the discuss the best option for you. 

Eyelid Malposition (Entropion / Ectropion) 

When the eyelid turns in (entropion) or out (ectropion) or has closure issues (lagophthalmos) it can cause constant irritation, watering, and even damage to the eye. Surgery restores eyelid position to protect the eye and improve comfort with long-lasting correction.

If you have persistent watering, irritation you might be suffering from eyelid-related issues. Schedule an evaluation before its too late!

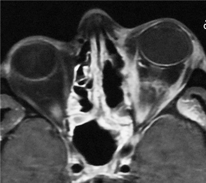
Orbital Surgery 

Orbital conditions can cause eye bulging, double vision, pain, swelling or even lumps around the eye and may require imaging and specialised treatment. Orbital surgery demands expertise around critical nerves, muscles and most importantly the eyeball.

If you’ve been told you have double vision or unexplained eye bulging, book a visit and get an assessment from an expert. 

Thyroid Eye Disease management 

TED can cause prominent eyes, eyelid retraction, dryness, swelling, and double vision – and in severe cases can threaten vision. Treatment is staged and highly complex: medical control first, and surgery only when needed for safety, function, and final refinement.

If you have been diagnosed with a thyroid condition or have noticed any of the above problems, get a consult and an entire work-up and tailored management for you.

Ocular Oncology (Lumps & Bumps Around the Eyes) 

Not all eyelid lumps are harmless – some can be skin cancers that need timely diagnosis and proper removal. Treatment should ensure complete tumour control while preserving eyelid function and achieving cosmesis.

If a lump is growing around your eyes get it checked out and biopsied if deemed necessary.

Artificial Eye (Prosthetic Eye) 

custommade artificial eye restores natural appearance after eye loss due to trauma, infection, or tumours. The outcome depends on socket health, volume balance, eyelid and long-term comfort – not just the prosthesis.

If you’re considering an artificial eye or struggling with an ill-fitting one, book a consultation for a personalised plan.

Eye & Face twitching 

Eye and facial spasms are involuntary muscle contractions that can cause frequent blinking, eyelid squeezing, facial twitching, and social discomfort – and can sometimes interfere with daily activities. Careful diagnosis is key to identify the type and choose the right treatment. 

If twitching is persistent, worsening, or affecting your routine, book an evaluation to confirm the cause and discuss targeted treatment options.

Results That Speak Softly, Yet Clearly

result
result
result
result
result

Stories of Confidence & Care

I always felt my eyes made me look more tired than I actually felt. Dr Sumer understood exactly what I wanted and never pushed me into anything extra. After the surgery, I just look fresher and more awake.

— Mrs. Amita 45/F

I was quite nervous before deciding to go ahead, but Dr Sumer and his team made me feel very comfortable. The result is very natural and neat. I am very happy with my results

— Mr. Saroj Shah 52/M

My right eye looks smaller than left since birth and I was always conscious of it in photos. Dr Sumer explained the problem in a very simple way and gave me confidence to go ahead. My eyes now look much more even, and I feel very good

— Mr. Farhaz 22/M

From my first visit, Dr Sumer and his team were kind, patient, and very reassuring. Siddhant at the front desk was always helpful with appointments, and Vaishnavi and the OT staff were very warm on the day of surgery. I am happy with the service

— Mrs. Elena 40/F

This was a very emotional journey for me, but Dr Sumer handled everything with a lot of care and patience. He and his team supported me at every step and made a difficult situation feel much easier. I am very happy with how realistic the artificial eye looks now.

— Mrs. Risha 31/F

I had bulging eyes detected by Dr Sumer after my thyroid problem. He explained everything calmly and clearly, and his team was very supportive throughout. After 2 injections it has settled and I am happy with how everything is

— Mrs. Pramila 62/F

Let’s Talk About What You’re Looking For

Book an Appointment
cta-img

Functional Eyelid Surgery – FAQs

A droopy eyelid means the upper lid sits lower than normal. It can make the eyes look tired or uneven, and in some patients it can also affect vision.

Yes. Droopy eyelids can usually be improved with surgery. The exact procedure depends on how much the lid has drooped and how well the eyelid muscle is working.

One common reason is a blockage in the tear drainage passage. Instead of draining normally, tears overflow onto the cheek and may sometimes be associated with discharge or repeated infection.

Endoscopic DCR is a scarless tear duct surgery done through the nose to create a new passage for tears to drain. It is advised when watering is caused by a blocked tear duct.

Yes. Thyroid eye disease can cause lid retraction, asymmetry, staring appearance, swelling, and difficulty closing the eyes fully. It can be treated

Not always. Many eyelid lumps are harmless, but some may need removal or biopsy, especially if they keep growing or look unusual.

Yes, in many cases they do. Injuries around the eyelids may involve the lid margin, tear duct area, or deeper tissues and need to be repaired by an eye plastic surgeon

Stay Centered

@dr_sumer

Clinic Location

Well-connected and easy to reach by road, rail, and air.

Near metro station

Parking available

Accessible clinic

Get Directions